El Ministerio de Salud manifestó su preocupación por la infección de neumonía bilateral que afectó a seis personas y ya causó el deceso de tres. La incógnita yace en el origen de los casos y actualmente se investiga la enfermedad, mientras se realiza un seguimiento cercano a los pacientes.
Neumonía bilateral en Tucumán: qué se sabe de la infección
Neumonía bilateral en Tucumán: que se sabe de la infección
Este mediodía se confirmó la muerte de la tercera persona, una paciente de 70 años. Ayer se había informado el deceso del segundo paciente afectado por un cuadro de neumonía bilateral. De acuerdo al Ministerio de Salud de Tucumán, "se trata de un hombre de sexo masculino, de 45 años de edad con comorbilidades, que se encontraba internado en el hospital Eva Perón desde el 21 de agosto".
Hay otros tres casos sospechosos en análisis.
A partir del hecho, el país mira atentamente hacia Tucumán por la preocupante situación. Esto es lo que se sabe de la enfermedad y del estado actual de los afectados.
LEER MÁS: Analizan muestras de neumonía por causa desconocida
-Luis Medina Ruiz, jefe del Ministerio de Salud Pública en Tucumán, explicó que todavía no se descubrió el origen de estas infecciones. Se realizaron evaluaciones con virus, bacterias y más de 25 gérmenes.
-Cinco de las personas afectadas son trabajadores de salud y la restante es una paciente que concurría a un sanatorio privado de San Miguel de Tucumán. Por eso, se habla de un brote focalizado.
-Los síntomas de todos los pacientes iniciaron entre el 18 y el 22 de agosto. Desde esta última fecha, no se volvieron a presentar nuevos casos y, por este motivo, se estima que no sea una afección altamente contagiosa, como el Covid-19 o la gripe.
--Ya fueron enviadas muestras al Instituto Malbrán y es probable que, para el fin de semana, se informen los resultados de los análisis. No obstante, el sistema de salud "no descarta nada".
Cuáles son los síntomas de la neumonía bilateral
Los síntomas de la neumonía bilateral, puede confundirse con otras afecciones, como covid o gripe:
- Fiebre alta
- Dificultad para respirar
- Tos con flema
- Escalofríos
- Dolor en el pecho
- Dolor de espalda
- Náuseas o vómitos
- Diarrea
Cómo detectar la enfermedad
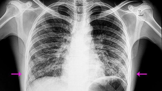
- El diagnóstico de la neumonía bilateral se hace a través de una radiografía del tórax. También es necesario realizar una exploración física y, una vez que se establece el diagnóstico, generalmente hacen falta otras pruebas para ver el tipo de gérmenes y el tipo de severidad.
- En los casos más leves no es necesario el ingreso hospitalario, pero en casos más severos, bien por la condición del paciente que lo tiene o la gravedad de la neumonía o la situación incluso social, puede ser necesaria la internación para la asistencia respiratoria.
Qué recomiendan los especialistas
El tratamiento depende de la edad, del tipo de microorganismos y de las opciones. En general se usan antibióticos en los casos de una neumonía bacteriana, o bien con tratamientos que ataquen directamente los síntomas, jarabes para la tos, antifebriles, analgésicos. En los casos de mayor gravedad se requiere internación para inducir al paciente a una asistencia respiratoria.




















